教育部重点实验室介绍
经过3年的共建期,教育部耳鼻咽喉头颈科学重点实验室于2011年12月正式获批(教技函【2011】87号)。实验室依托首都医科大学,是以首都医科大学附属北京同仁医院耳鼻咽喉头颈外科、北京市耳鼻咽喉科研究所为基础,以耳鼻咽喉头颈疾病研究为核心攻关内容的创新研究实体,以“国家急需、世界一流”为建设宗旨,围绕“听觉障碍与人工听觉的基础及临床研究”、“鼻腔鼻窦炎性疾病的发病机制及其相关功能障碍的诊疗研究”、“阻塞性睡眠呼吸障碍疾病发病机制及其相关功能障碍的诊疗研究”、“喉癌发生发展的演变机制和早期干预的研究”四个主攻方向开展前沿基础与临床研究,努力建成国家级耳鼻咽喉学科基地与平台,成为具有国际重大影响的实验室、学术高地。曾三获国家科技进步二等奖,2011-2015年间实验室共承担各类科研项目239项,共获得研究经费9323.04万元。其中国家级科研项目62项,获批经费4431.49万元(项目数及经费分别占总数25.94%和47.53%);省部级科研项目103项,获批经费3536.48万元(项目数及经费分别占总数43.1%和37.93%);局级及其他科研项目76项,获批经费1355.07万元(项目数及经费分别占总数38.1%和14.53%)。承担国家级项目中,包括中国工程院重大咨询项目1项,973重大项目课题1项,国家科技支撑计划5项,国家科技支撑计划子课题1项。国家自然科学基金54项,其中重点项目1项,杰出青年基金1项,国际(地区)合作与交流项目1项。此外有4个项目获批北京市医管局临床医学发展专项扬帆计划立项资助,获批经费600万。在2015年度、2016年度中国医院科技影响力排行榜和中国最佳临床学科评估排行榜均位居首位(图1、图2)。


图1 2015中国最佳临床学科评估排行榜


图2 2015中国医院科技影响力排行榜
作为国际上最大的人工耳蜗植入中心之一,实验室围绕人工听觉技术开展了深入研究(图3)。建立了完善的针对声调语言患者的人工耳蜗植入效果评估体系,获得了儿童人工耳蜗植入后层级性听觉及言语发育规律,为准确评估耳蜗患者听觉及言语能力并使之早日融入主流社会提供了依据。深入揭示不同类型感音神经性听力损失者言语感知能力差异的内在机制,首次提出了时域信息编码能力在听力障碍患者言语声调感知机制中的重要作用,为未来跨领域研究奠定了基础。优化并推广人工耳蜗植入术式,术后并发症降低了50%,在国内率先开展振动声桥等多项人工听觉新技术,起到示范带动作用(图4)。作为国内第一个临床听力学中心和第一个听力学本科教育基地,不仅引领了国内人工听觉技术的进步,还推进了听力学教育在中国的发展(图5)。

图3 听觉障碍研究框架



图4 微创人工耳蜗植入技术改进

图5 2005年听力重建启聪行动
在鼻病研究领域,深入探讨鼻黏膜炎症性疾病发病机制及治疗策略,国际首报中国过敏性鼻炎患病率(11.3%)和变化趋势(图6),创新性开展过敏性鼻炎集群免疫治疗研究(图7),并入选国际免疫治疗指南,被学术界推介为“应在21世纪临床推广”的技术。获批鼻变态反应国家临床重点专科,成为中华医学会变态反应学会主委单位。依据鼻窦炎鼻息肉临床表型引导临床诊疗,针对伴哮喘慢性鼻窦炎采用阶梯式手术治疗策略,显著提升治疗效果。继续引领国内鼻内镜技术的创新发展,拓展鼻内镜技术的内涵和外延(图8)。近三年获得北京市科技进步奖两项。

图6 发表过敏性鼻炎患病率的变化趋势系列调查报告

图7 创用集群免疫治疗,实现安全快速脱敏。该疗法入选国际指南。


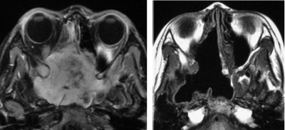
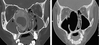
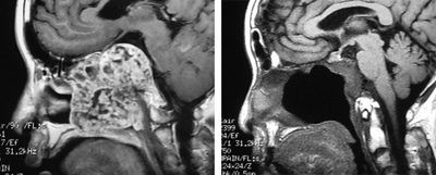
鼻咽纤维血管瘤

骨化纤维瘤

斜坡脊索瘤
图8 鼻内镜外科技术的延伸:鼻颅底、鼻眼相关精准手术
睡眠呼吸障碍已被认为是多种慢病的源头性疾病之一。实验室在已有工作基础上(图9、图10),探索和逐步建立睡眠呼吸障碍个体化外科治疗系统:创新性提出咽腔塌陷性评估方法并应用于术前适应证选择、提高疗效预测的准确性;完成口内无创颏舌肌肌功能监测装置的专利申请,为提高我国睡眠医学研究和临床诊治水平,预防和控制睡眠疾病相关的慢病危害起到积极作用。

图9 创新术式Han-UPPP术式在临床中的应用

图10 鼻腔扩容术在睡眠呼吸障碍性疾病治疗中的应用






